Are Porcelain Crowns Safe . Porcelain is a biocompatible material, meaning it is safe. As we mentioned earlier, porcelain crowns are one of the most commonly used dental restoration tools. Crowns can be made from different. Porcelain crowns are durable and can last up to 15 years with proper care and maintenance. If there is any safety concern at all, patients can opt for porcelain or ceramic crowns which do not contain any metal. It can restore its size, shape, and appearance. Crowns made entirely from resin are a cheaper option than the. Porcelain stands out as one of the safest dental crown materials available, particularly concerning safety. For many patients, the pros outweigh the. A dental crown is a fitted cap that covers a tooth that has suffered damage from decay or trauma. Porcelain fused to metal crowns are generally considered safe and effective for restoring damaged or weakened teeth. That said, crowns lie on top.
from www.beverlyhillsfamilydentalgroup.com
That said, crowns lie on top. Porcelain crowns are durable and can last up to 15 years with proper care and maintenance. Porcelain is a biocompatible material, meaning it is safe. A dental crown is a fitted cap that covers a tooth that has suffered damage from decay or trauma. Crowns made entirely from resin are a cheaper option than the. If there is any safety concern at all, patients can opt for porcelain or ceramic crowns which do not contain any metal. For many patients, the pros outweigh the. Porcelain stands out as one of the safest dental crown materials available, particularly concerning safety. Porcelain fused to metal crowns are generally considered safe and effective for restoring damaged or weakened teeth. Crowns can be made from different.
Pros and Cons of Porcelain Crowns Beverly Hills Prestige Dental Group
Are Porcelain Crowns Safe As we mentioned earlier, porcelain crowns are one of the most commonly used dental restoration tools. If there is any safety concern at all, patients can opt for porcelain or ceramic crowns which do not contain any metal. Porcelain crowns are durable and can last up to 15 years with proper care and maintenance. That said, crowns lie on top. A dental crown is a fitted cap that covers a tooth that has suffered damage from decay or trauma. For many patients, the pros outweigh the. Crowns can be made from different. Porcelain fused to metal crowns are generally considered safe and effective for restoring damaged or weakened teeth. Crowns made entirely from resin are a cheaper option than the. Porcelain stands out as one of the safest dental crown materials available, particularly concerning safety. It can restore its size, shape, and appearance. As we mentioned earlier, porcelain crowns are one of the most commonly used dental restoration tools. Porcelain is a biocompatible material, meaning it is safe.
From www.ayfamilydental.com
Frequently Asked Questions about Porcelain Crowns AY Family Dental Are Porcelain Crowns Safe If there is any safety concern at all, patients can opt for porcelain or ceramic crowns which do not contain any metal. Porcelain crowns are durable and can last up to 15 years with proper care and maintenance. Crowns made entirely from resin are a cheaper option than the. That said, crowns lie on top. For many patients, the pros. Are Porcelain Crowns Safe.
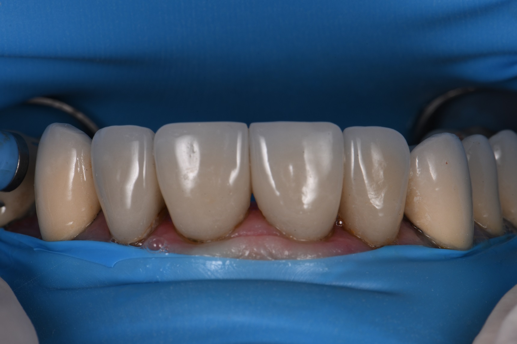
From oceanbreezeprosthodontics.com
Porcelain Crowns, Case 3 Ocean Breeze Prosthodontics Are Porcelain Crowns Safe For many patients, the pros outweigh the. Porcelain fused to metal crowns are generally considered safe and effective for restoring damaged or weakened teeth. As we mentioned earlier, porcelain crowns are one of the most commonly used dental restoration tools. Porcelain crowns are durable and can last up to 15 years with proper care and maintenance. If there is any. Are Porcelain Crowns Safe.
From www.arthurstreetdental.com.au
12 Porcelain Crowns Before & After Photos Coffs Harbour NSW Are Porcelain Crowns Safe A dental crown is a fitted cap that covers a tooth that has suffered damage from decay or trauma. That said, crowns lie on top. For many patients, the pros outweigh the. If there is any safety concern at all, patients can opt for porcelain or ceramic crowns which do not contain any metal. Porcelain is a biocompatible material, meaning. Are Porcelain Crowns Safe.
From lakeforestdentalarts.com
Porcelain Crowns Types and Uses of a Porcelain Crown Are Porcelain Crowns Safe It can restore its size, shape, and appearance. For many patients, the pros outweigh the. Crowns made entirely from resin are a cheaper option than the. Porcelain is a biocompatible material, meaning it is safe. Crowns can be made from different. A dental crown is a fitted cap that covers a tooth that has suffered damage from decay or trauma.. Are Porcelain Crowns Safe.
From www.antlaradental.com
Porcelain,pfm teeth crown cost turkeyantlara dental clinic antalya Are Porcelain Crowns Safe For many patients, the pros outweigh the. Crowns can be made from different. As we mentioned earlier, porcelain crowns are one of the most commonly used dental restoration tools. It can restore its size, shape, and appearance. A dental crown is a fitted cap that covers a tooth that has suffered damage from decay or trauma. Porcelain crowns are durable. Are Porcelain Crowns Safe.
From www.clarencetam.co.nz
Preparations for New Bonded Porcelain Crowns Preparations for New Are Porcelain Crowns Safe Crowns made entirely from resin are a cheaper option than the. As we mentioned earlier, porcelain crowns are one of the most commonly used dental restoration tools. If there is any safety concern at all, patients can opt for porcelain or ceramic crowns which do not contain any metal. Crowns can be made from different. Porcelain fused to metal crowns. Are Porcelain Crowns Safe.
From www.brisbaneprosthodontics.com.au
Services Porcelain Crowns Brisbane Prosthodontics Are Porcelain Crowns Safe Porcelain stands out as one of the safest dental crown materials available, particularly concerning safety. Porcelain is a biocompatible material, meaning it is safe. For many patients, the pros outweigh the. Crowns made entirely from resin are a cheaper option than the. Porcelain fused to metal crowns are generally considered safe and effective for restoring damaged or weakened teeth. If. Are Porcelain Crowns Safe.
From www.oldhookdental.com
All porcelain crown Are Porcelain Crowns Safe A dental crown is a fitted cap that covers a tooth that has suffered damage from decay or trauma. As we mentioned earlier, porcelain crowns are one of the most commonly used dental restoration tools. Porcelain stands out as one of the safest dental crown materials available, particularly concerning safety. Porcelain is a biocompatible material, meaning it is safe. It. Are Porcelain Crowns Safe.
From www.hovedentalclinic.co.uk
Porcelain Crowns & Porcelain Bonded Crowns Treatment, Care & Advice Are Porcelain Crowns Safe As we mentioned earlier, porcelain crowns are one of the most commonly used dental restoration tools. Porcelain stands out as one of the safest dental crown materials available, particularly concerning safety. Porcelain fused to metal crowns are generally considered safe and effective for restoring damaged or weakened teeth. For many patients, the pros outweigh the. Porcelain crowns are durable and. Are Porcelain Crowns Safe.
From www.brisbaneprosthodontics.com.au
Services Perfect Porcelain Crowns Brisbane Prosthodontics Are Porcelain Crowns Safe It can restore its size, shape, and appearance. Porcelain crowns are durable and can last up to 15 years with proper care and maintenance. For many patients, the pros outweigh the. Crowns can be made from different. Porcelain stands out as one of the safest dental crown materials available, particularly concerning safety. As we mentioned earlier, porcelain crowns are one. Are Porcelain Crowns Safe.
From www.antlaradental.com
Porcelain,pfm teeth crown cost turkeyantlara dental clinic antalya Are Porcelain Crowns Safe Crowns made entirely from resin are a cheaper option than the. That said, crowns lie on top. Porcelain fused to metal crowns are generally considered safe and effective for restoring damaged or weakened teeth. A dental crown is a fitted cap that covers a tooth that has suffered damage from decay or trauma. Porcelain crowns are durable and can last. Are Porcelain Crowns Safe.
From prestige-dental-care.com.my
Full Porcelain Crown Are Porcelain Crowns Safe Porcelain stands out as one of the safest dental crown materials available, particularly concerning safety. If there is any safety concern at all, patients can opt for porcelain or ceramic crowns which do not contain any metal. Crowns can be made from different. That said, crowns lie on top. Crowns made entirely from resin are a cheaper option than the.. Are Porcelain Crowns Safe.
From dentalhealthsociety.com
Are Dental Crowns Safe? The 411 on Dental Crown Toxicity Dental Are Porcelain Crowns Safe Crowns made entirely from resin are a cheaper option than the. A dental crown is a fitted cap that covers a tooth that has suffered damage from decay or trauma. Porcelain fused to metal crowns are generally considered safe and effective for restoring damaged or weakened teeth. As we mentioned earlier, porcelain crowns are one of the most commonly used. Are Porcelain Crowns Safe.
From www.woodparkdental.com
Porcelain Crowns Before & After Same Day Crowns in Eagan MN Are Porcelain Crowns Safe Porcelain crowns are durable and can last up to 15 years with proper care and maintenance. Crowns made entirely from resin are a cheaper option than the. If there is any safety concern at all, patients can opt for porcelain or ceramic crowns which do not contain any metal. For many patients, the pros outweigh the. Porcelain stands out as. Are Porcelain Crowns Safe.
From www.beverlyhillsfamilydentalgroup.com
Pros and Cons of Porcelain Crowns Beverly Hills Prestige Dental Group Are Porcelain Crowns Safe Crowns can be made from different. That said, crowns lie on top. It can restore its size, shape, and appearance. Crowns made entirely from resin are a cheaper option than the. Porcelain stands out as one of the safest dental crown materials available, particularly concerning safety. For many patients, the pros outweigh the. As we mentioned earlier, porcelain crowns are. Are Porcelain Crowns Safe.
From www.generaldentistryofcanandaigua.com
porcelaincrownspatient General Dentistry and Implantology of Canandigua Are Porcelain Crowns Safe Porcelain fused to metal crowns are generally considered safe and effective for restoring damaged or weakened teeth. Porcelain is a biocompatible material, meaning it is safe. If there is any safety concern at all, patients can opt for porcelain or ceramic crowns which do not contain any metal. Porcelain crowns are durable and can last up to 15 years with. Are Porcelain Crowns Safe.
From www.dentistravelturkey.com
PORCELAIN CROWNS IN TURKEY Are Porcelain Crowns Safe It can restore its size, shape, and appearance. That said, crowns lie on top. Porcelain fused to metal crowns are generally considered safe and effective for restoring damaged or weakened teeth. Porcelain crowns are durable and can last up to 15 years with proper care and maintenance. Crowns made entirely from resin are a cheaper option than the. As we. Are Porcelain Crowns Safe.
From www.msdental.com.au
PorcelainCrownsBA MsDental Are Porcelain Crowns Safe It can restore its size, shape, and appearance. For many patients, the pros outweigh the. Porcelain stands out as one of the safest dental crown materials available, particularly concerning safety. Porcelain fused to metal crowns are generally considered safe and effective for restoring damaged or weakened teeth. As we mentioned earlier, porcelain crowns are one of the most commonly used. Are Porcelain Crowns Safe.